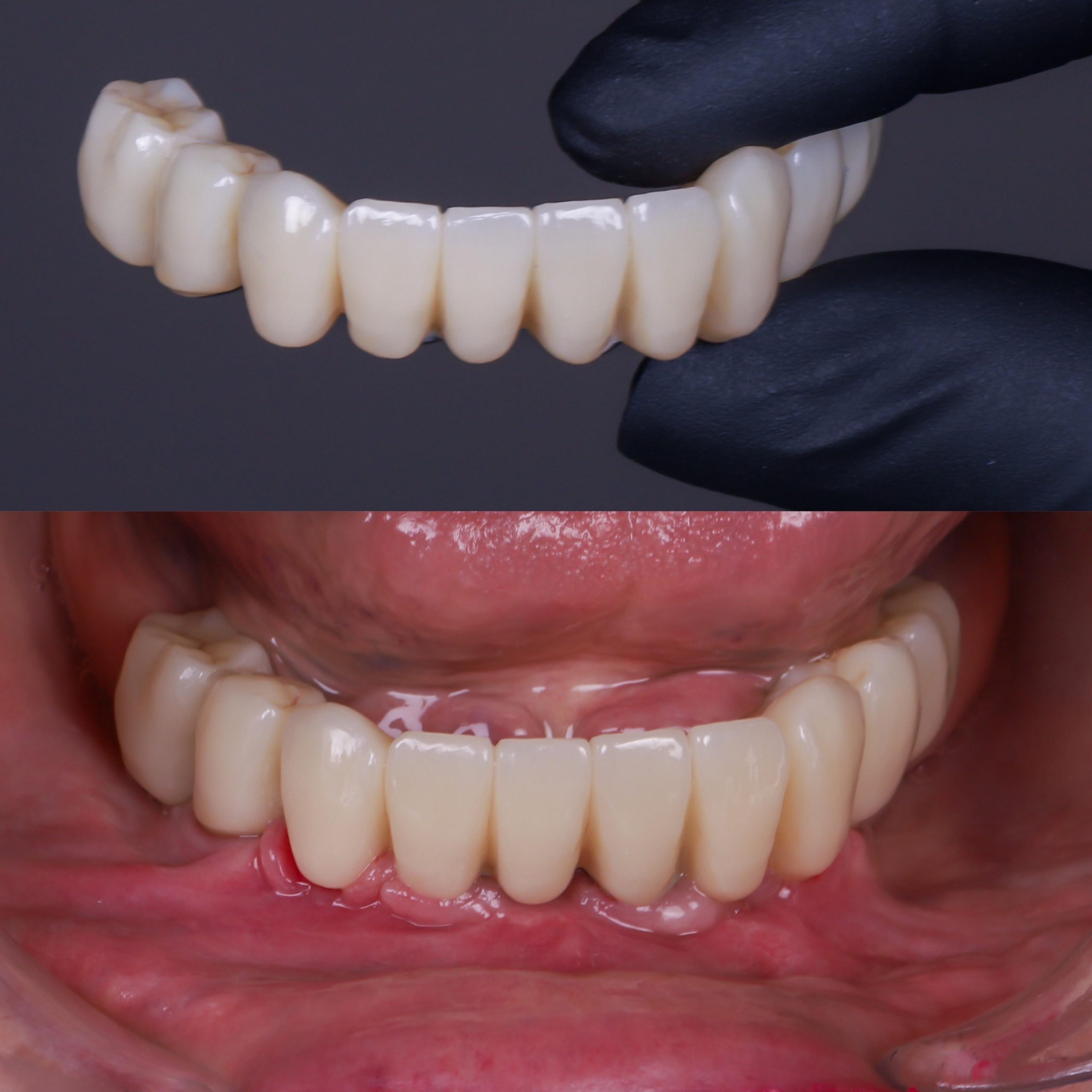
dentadura fija sobre 4 implantes precio
Por favor visítenos:- https://magdentalmadrid.com/de....ntadura-fija-sobre-4
@magdentalmadrid
dentadura fija sobre 4 implantes precio
Por favor visítenos:- https://magdentalmadrid.com/de....ntadura-fija-sobre-4